viernes, 26 de octubre de 2012

Fracturas metafisarias proximales de tibia



Las fracturas metafisarias de la tibia proximal pueden ser engañosas, puesto que al inicio se pueden presentar como una fractura simple sin desplazar y originar una desviación de la extremidad muy llamativa a pesar de un correcto tratamiento

INCIDENCIA
Cuando el niño esta en la fase de valgo fisiológico, es decir entre los 2 y 8 años.

Patogénesis
No existe explicación que justifique la aparición de una deformidad en valgo tras una fractura metafisaria proximal de la tibia. Debemos recordar que una deformidad en valgo puede desarrollarse espontáneamente sin que haya fractura tibial.

FACTORES ETIOLÓGICOS DE TIBIA VALGA


• Reducción inadecuada
• Partes blandas interpuestas
• Carga precoz
Factores iatrogénicos

• Crecimiento asimétrico tibial por:
- Incremento de la vascularización medial
- Cese temporal del crecimiento fisario lateral
- Pérdida de la inhibición del crecimiento perióstico
• Tracción ejercida por el peroné
• Fuerzas de la banda ilio-tibial

Factores biológicos
Hiprecrecimiento tibial
Tracción ejercida por el peroné

Fracturas de la diáfisis tibial
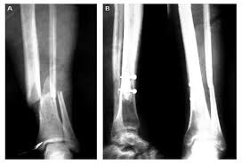
Las fracturas de la diáfisis tibial en niños son frecuentes y suponen el 8% de las fracturas en el niño, pero si se analizan las fracturas que requirieron ingreso hospitalario ocupan el segundo lugar en frecuencia tras las fracturas de fémur. Aunque se producen a cualquier edad, son más frecuentes en edades inferiores a los 10 años, siendo la gran mayoría de ellas benignas y se tratan mediante inmovilización enyesada, con o sin necesidad de reducción previa y con buenos resultados.

Mecanismo de producción
Pueden estar producidas por mecanismo directo o indirecto y el tipo de fractura varía con la edad del niño. Son más frecuentes los mecanismos indirectos que originarían trazos espiroideos u oblicuos y generalmente se produce al quedar atrapado el pie y girar el cuerpo en la caída. El mecanismo directo ocasiona trazos transversos o fracturas conminutas y pueden atribuirse en un 50% de los casos a atropellos por vehículos y un 17% a caídas.


Clasificación
Fracturas diafisarias:
1.    Fracturas aisladas de la tibia.
2.    Fracturas aisladas del peroné.
3.    Fracturas de ambos huesos.
Fracturas especiales:
a)    Fractura de los primeros pasos (Toddler’s fracture).
b)    Fractura de los radios de la bicicleta.
c)    Fracturas patológicas.
d)    Fracturas de stress.

El tratamiento de la mayoría de estas fracturas en el niño será la reducción y el yeso isquiopédico. La reducción adecuada en fracturas desplazadas se obtiene si hay contacto de un 50% entre los extremos, no existe acortamiento ni malrotación y la angulación es menor de 5-10º en cualquier sentido. La inmovilización debe realizarse en yeso isquiopédico con rodilla en flexión de 45º y pie en 20º de flexión plantar. El seguimiento debe realizarse semanal con controles radiológicos durante las tres primeras semanas y frecuentemente cambiar el yeso a las 2 semanas. Si hay pérdida de reducción puede corregirse mediante la realización de gipsotomías resecando o añadiendo cuñas.
El tratamiento quirúrgico es utilizado en pocos casos en este tipo de fracturas. Los tipos de tratamiento dependerán de la edad del paciente, tipo de fractura y localización de la misma

Complicaciones
1.      Síndrome compartimental
2.      Lesiones vasculares
3.      Deformidades angulares
4.      Malrotaciones
5.      Dismetrías,
6.      Cierre fisario proximal que puede ser iatrogénico
7.      Retardo de consolidación y Pseudoartrosis

FRACTURAS ESPECIALES
Fractura de los primeros pasos
(Toddler’s Fracture)
Se producen ante una caída y por mecanismo de rotación provocando una fractura
espiroidea generalmente localizada en el tercio inferior de la tibia en niños menores de 3 años.

Fractura de los radios de la bicicleta
Lo importante es tener en cuenta que conlleva una lesión importante de tejidos blandos que puede infravalorarse y presentarse con una fractura espiroidea de tercio inferior de la tibia. Es lesión poco frecuente.

Rodilla flotante
Cuando existe la fractura de la tibia con fractura de fémur ipsilateral. El tratamiento depende de la edad del niño.
Cuando el niño es pequeño puede utilizarse la tracción del fémur y la reducción y yeso de la tibia. Si el niño tiene entre 6 y 10 años puede utilizarse la combinación de fijador externo y clavos elásticos o tracción fija.


Fracturas de tobillo
Las epifisiolisis del tobillo son las lesiones fisarias más frecuente en niños. En más del 50% de los traumatismos de tobillo en el esqueleto en desarrollo la placa de crecimiento está afectada. Esta elevada incidencia, junto con la posibilidad de dejar graves secuelas, y la dificultad diagnóstica que presentan algunas de estas lesiones justifican su conocimiento.

Consideraciones anatómicas
El núcleo de osificación epifisario distal de la tibia aparece entre el segundo y tercer año de vida, al igual que el del peroné. La fusión fisaria se produce entre los 15 y 17 años según el sexo. Este cierre fisario distal de la tibia se produce a lo largo de 18 meses, y no ocurre de una forma homogénea.
El cierre fisario comienza en la parte central, y desde esta zona progresa a la medial. Por lo tanto, existe un período de tiempo en el que la parte lateral de la placa de crecimiento distal de la tibia es una zona vulnerable

Diagnóstico por imagen
En todos los casos son imprescindibles las proyecciones anteroposterior (AP) y lateral (L) estándar. Sin embargo, la proyección AP estándar es una proyección oblicua al eje anatómico del tobillo, el eje bimaleolar. Por tanto, es importante añadir una proyección en rotación interna de 20 grados, con objeto de apreciar nítidamente la proyección tibio-peroneo-astragalina.

Tratamiento
Reducción cerrada
Afortunadamente se puede practicar en la mayoría de los casos. Es necesaria una anestesia general para conseguir una adecuada relajación y analgesia. Las maniobras de reducción consisten en la inversión del mecanismo de producción acompañada siempre de una tracción en el eje del miembro.

Inmovilización
En las fracturas sin desplazamiento o después de obtenida una reducción adecuada, se inmoviliza con calza inguinopédica.

Reducción abierta y osteosíntesis
La reducción abierta está indicada:
1. Imposibilidad de obtener o mantener una reducción cerrada satisfactoria (fracaso de reducciones en tipo II).
2. Incongruencia articular y/o fisaria. (tipos III y IV).
3. Fractura expuesta o asociada a lesión vascular.



FRACTURAS TRIPLANAS
Este tipo de fracturas fue descrita por primera vez en 1970, y bautizada como epifisiólisis triplana dos años más tarde, por su especial configuración en los tres planos del espacio
1. Coronal, delimita un fragmento metafisario posterior en la tibia. En la radiografía lateral aparece como un tipo II o IV.
2. Transverso, horizontal al plano del suelo, a través de la porción anterolateral de la fisis.
3. Sagital, a través de la epífisis, por lo que aparece como un tipo III en la radiografía anteroposterior.

Fracturas en el pie infantil

INCIDENCIA
Las fracturas del pie en los niños son poco frecuentes. El pie y sus ligamentos son muy flexibles de manera que, las fuerzas a menudo son transmitidas hacia la tibia proximal y fémur. Cuando las fracturas ocurren en el pie infantil, son habitualmente simples y requieren tratamientos simples.
Algunas fracturas, sin embargo, sí necesitan un tratamiento más activo: astrágalo, calcáneo, navicular, fracturas, luxaciones tarsometatarsianas, base y diafisis del 5º metatarsiano, cuello de los metatarsianos y las fracturas -arrancamientos en el dedo gordo.

FRACTURAS DEL ASTRÁGALO
Fracturas del cuello
Son muy raras en los niños. La proporción adultos–niños es de 10 a 1 respectivamente.
El mecanismo de producción de la lesión es habitualmente un traumatismo en flexión dorsal del cuello del astrágalo contra el borde anterior de la tibia distal.

El tratamiento de estas fracturas es el siguiente:
1. Fracturas sin desplazamiento: inmovilización con yeso sin apoyo de la extremidad hasta que la curación es suficiente.
2. Fracturas desplazadas: habitualmente suelen requerir manipulación cerrada de la fractura. Esto se consigue mediante un mecanismo inverso es decir, mediante flexión plantar y supinación del antepié

Fracturas de la apófisis externa
Esta es una fractura astragalina que involucra tanto la articulación peroneo astragalina como la subastragalina.


Fracturas trascondrales (cúpula)
Las primeras radiografías pueden ser negativas, por lo que se recurre a la gammagrafía ósea o a la resonancia magnética para su diagnóstico. Hay dos tipos:
1. Lesiones posteromediales: producidas por inversión y flexión plantar del pie con una rotación externa de la tibia.
2. Lesiones anterolaterales: causadas por una inversión y flexión dorsal, pudiendo llevar asociada una rotura de los ligamentos colaterales peroneales.


FRACTURAS DEL CALCÁNEO
Incidencia
La incidencia es muy rara en niños produciéndose en sólo 1/20 de los adultos. En chicos, la incidencia es mayor durante la adolescencia.
Mecanismo
El mecanismo en los niños no es tanto por caídas, sino por lesiones directas, esto es, cortadoras de césped, conllevando fracturas abiertas. El calcáneo en los niños es más flexible y, por tanto, menos proclive a aplastamientos

Diagnóstico
Muchas veces los hallazgos radiológicos son sutiles. Se necesitan un mínimo de cuatro proyecciones (lateral, axilar, dorsoplantar y dorsoplantar oblicua) para visualizar de forma adecuada una fractura.

Clasificación
Schmidt y Weiner han descrito tres grupos.
Primero, existe una fractura extraarticular que afecta, principalmente, al cuerpo del calcáneo y a la superficie no articular. Esta lesión es más frecuente en niños más pequeños.
Segundo, existe una fractura intraarticular, la cual es debida a una precipitación, siendo más frecuente en niños mayores y adolescentes. En este grupo hay una depresión de la superficie articular.Tercero, existe una pérdida de hueso con pérdida de la inserción del tendón de Aquiles en relación con algún tipo de corte, como por ejemplo, las cortadoras de césped.

Tratamiento
En los niños pequeños, suele ocurrir la remodelación de la fractura con una pequeña incongruencia articular
Así, el paciente suele ser tratado con un yeso sin apoyo hasta que la fractura está curada.
En niños mayores con depresión articular, se debe realizar una reducción abierta y osteosíntesis, mediante un tornillo de compresión a través de un abordaje lateral.

FRACTURAS DEL ESCAFOIDES
Las fracturas de este hueso en niños son raras y a menudo pasan sin ser diagnosticadas.
Pueden ser reconocidas sólo con TAC.

FRACTURAS DEL CUBOIDES
Pasan a menudo desapercibidas. Se denominan fracturas tipo cascanueces, ya que son debidas a fuerzas de compresión entre el calcáneo y los dos metatarsianos laterales.
Cuando existe una fractura del cuboides, se deben buscar siempre alteraciones asociadas de los metatarsianos.

FRACTURAS LUXACIONES TARSO
METATARSIANAS
Factores anatómicos
En esta zona, los ligamentos son más fuertes en el lado plantar. El segundo metatarsiano está encajado en su superficie articular, lo que le hace más estable.


Mecanismo
Hay dos mecanismos que concurren en este tipo de fractura. El primero es debido a las fuerzas de flexión-abducción que producen una fractura en la base del segundo metatarsiano y una fractura compresión del cuboides. El segundo se debe a una flexión plantar violenta en donde el pie está cargado en una posición de puntillas lo cual produce una rotura de los débiles ligamentos dorsales.

Tratamiento
Las fracturas sin desplazar (menos de 2 mm) suelen ser tratadas normalmente de forma conservadora mediante elevación y vendaje compresivo.
Las fracturas desplazadas pueden necesitar reducción cerrada, mediante tracción en los dedos con «cazamuchachas».

FRACTURAS DE LOS METATARSIANOS
Quinto metatarsiano
Fracturas de la base (metafisaria)
Son más frecuentes en el grupo de edad más joven. Se debe diferenciar esta fractura, de la apófisis. La línea apofisaria es habitualmente paralela al eje longitudinal del hueso, mientras que la línea de la fractura metafisaria es perpendicular al citado eje.

Tratamiento
Estas fracturas suelen ser inmovilizadas sólo para mayor comodidad del paciente. Se debe prevenir a los padres que esta fractura puede ser de curación lenta o que se puede producir un desplazamiento tardío

Fracturas diafisarias
Se suelen producir en adolescentes mayores.
Esta es la verdadera fractura de «Jones» la cual es de curación lenta. Suele requerir habitualmente una estabilización mediante un tornillo situado axialmente en el canal intramedular.

Fracturas de estrés
Se manifiestan por los signos clásicos de dolor que aumenta con la actividad y que disminuye con el reposo. Los cambios radiológicos no se suelen detectar hasta pasadas las 3 ó 4 semanas

FRACTURAS DE LAS FALANGES
Suelen ser fracturas simples que se tratan de forma conservadora con esparadrapo. La única excepción en donde se requiere tratamiento quirúrgico, es una avulsión del ligamento colateral de la falange proximal del dedo gordo. Si hay un desplazamiento significativo del fragmento colateral, puede ser necesaria la reducción abierta.

SÍNDROMES COMPARTIMENTALES
Desgraciadamente son diagnosticados muchas veces tarde. Es un cuadro que se debe sospechar en todas aquellas lesiones producto de atrapamientos significativos.
Los hallazgos clínicos incluyen un déficit sensitivo del 50%. El signo clínico más específico es el dolor a la dorsiflexión pasiva de los dedos. Síndromes compartimentales que pasan desapercibidos en el pie pueden producir dedos en garra. La fasciotomía es el tratamiento de elección y debe incluir liberación de los compartimentos dorsales y plantares

No hay comentarios:

Publicar un comentario